四川新闻网成都1月22日讯(记者 熊强)再过两天,小花(化名)就将走出四川省林业中心医院(以下简称:省林业医院)外三科的住院病房。与三个月前初来这里时的愁容满面相比,现在的小花,脸上更多了对未来、对生活更加坚定的笑容。

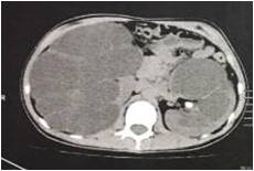
一期手术前,小花双肾重度积水
2017年10月28日,小花被省林业医院诊断为:1.右侧输尿管下段结石;2.左肾多发结石;3.双肾重度积水;4.右肾无功能。经过治疗,现肾功能恢复。两天后,小花也将走出医院,重返阔别已久的课堂。
16岁少女被检查出多项肾脏疾病
2017年10月28日,小花的父亲带着她从老家渠县来到四川省林业中心医院泌尿外科。因为小花的腹部明显较大,这引起了副主任医师郭伟全的格外注意。“经仔细查体并完善常规检查后,我发现小花腹部长大的原因为右肾巨大积水所致,初步诊断:1.右侧输尿管下段结石;2.左肾多发结石;3.双肾重度积水;4.右肾无功能。”郭伟全说。
郭伟全介绍,鉴于小花双侧上尿路梗阻,右肾无功能,首要目标系解除左侧上尿路梗阻,挽救肾功能。“但是,小花主要症状为腹胀,其原因为右肾巨大积水压迫腹腔脏器所致。在充分与患者父亲沟通病情后,决定分期手术。”郭伟全说,先挽救患者左肾,一期手术在右侧输尿管内放置内引流,取出左侧肾脏内结石并同时对左肾无功能区进行裁剪修复,二期手术视情况进行。
郭伟全介绍,一期手术于2017年11月1日顺利进行,并达到预期目标。术后一月复查,小花双肾积水明显减轻,右肾功能部分恢复,2017年12月26日积极安排二期行右输尿管切开取石术,手术顺利,术后左、右侧尿量逐步恢复正常,肾功能基本恢复。“目前,患者处于二期手术康复中,治疗难点为双肾解剖形态失常,尿流动力学改变,出现反复上尿路感染。”郭伟全说。

术后恢复情况良好
关爱让16岁少女重树对未来、对生活的信心
据小花的父亲介绍,小花是个苦命的孩子,母亲在她年幼时离家出走,至今未归。父亲为了维持生计,长年在外打工,月收入2000元左右。因为女儿病情严重,小花父亲只能辞掉工作,回家照顾小花,原本就比较贫寒的家境,再加上小花的住院和治疗费用,压得她和父亲喘不过气来。“紧张、不知所措。”得知患病后,小花只用了这简单的六个字来形容自己当时的心情。小花介绍,因为家境贫困,为了减轻家里的负担,她甚至曾经一度想要放弃治疗,“是省林业医院医护人员无微不至的关心,让我重新树立了坚持治疗的信心。”小花说。
“考虑到小花家庭的实际情况,我们开通了以‘16岁花季少女,救救她的肾’为主题的‘轻松筹’,求助社会筹集部分生活费用及后期复诊费用。”郭伟全说,在社会爱心人士的帮助下,共计筹集资金15337元,其中省林业医院职工募捐8000多元。
据郭伟全介绍,经治疗,目前小花的肾功能已恢复。小花说,是医护人员让她获得“二次”生命,会倍加珍惜,“当得知我初三毕业中断学习后,主治医生花了大量时间鼓励我继续读书,用知识改变命运!”(省林业医院供图)